Dr. Campos Lopes

Recentemente adquirimos novos aparelhos de oftalmologia.

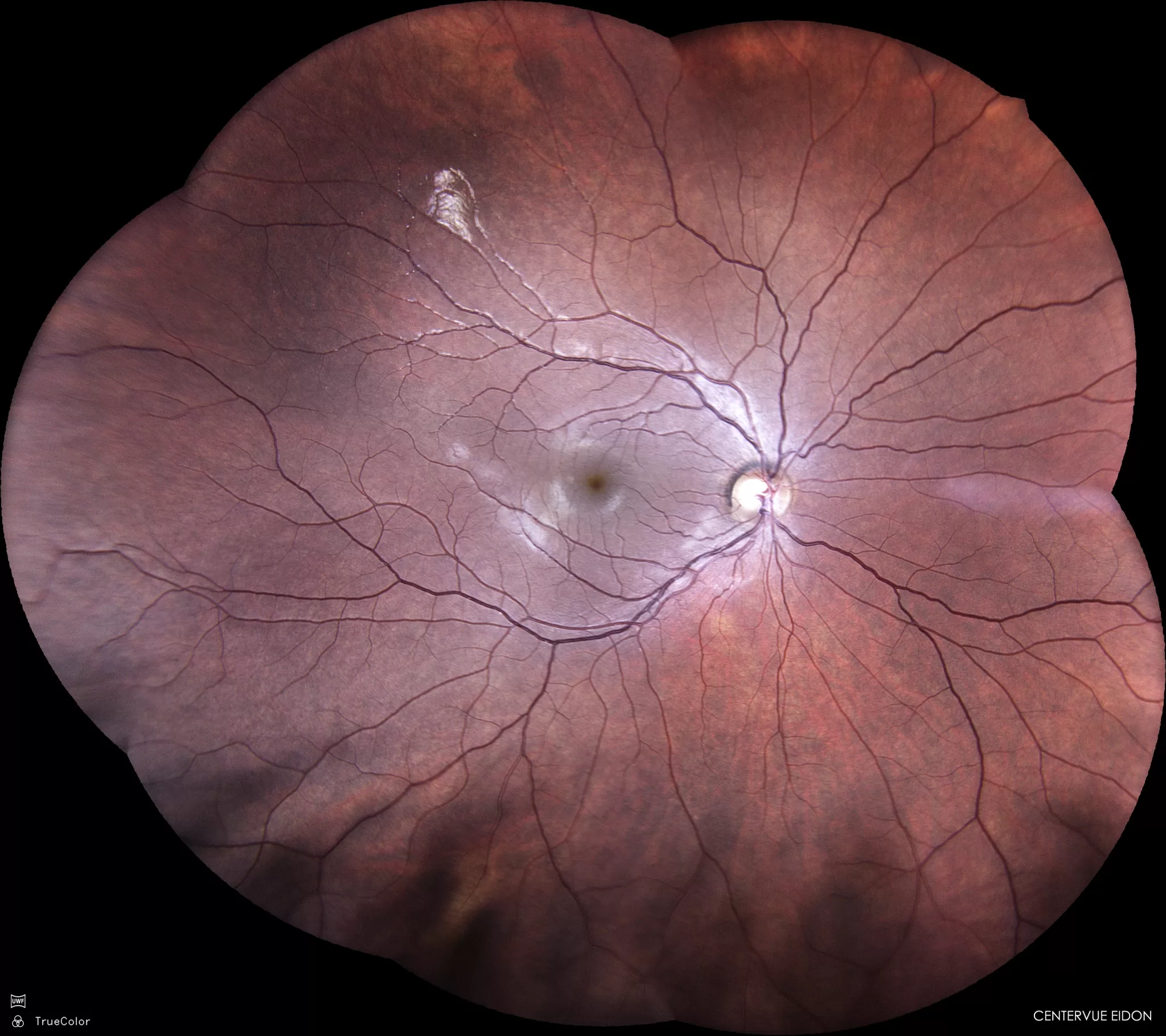
Hoje vamos falar do Retinógrafo de campo ultra-amplo (ultra-widefield). Este sofisticado instrumento faz fotografia da retina, sem dilatação da pupila, com uma resolução altíssima.

Figura 1 Retinografia da retina
Figura 1 Retinografia da retina

O Globo ocular e o Globo terrestre tem especificidades no seu estudo, com semelhanças e diferenças.

O oftalmologista quer estudar o interior do olho enquanto o cartógrafo  quer mapear a superfície da Terra.

Figura 2 Mapa medieval do Atlas do Visconde de Santarem
Figura 2 Mapa medieval do Atlas do Visconde de Santarem

Comparando o interior do Globo ocular com o Globo terrestre, na Retinografia o problema é adquirir uma imagem através da pupila, com uma abertura estreita,  e obter uma imagem do interior do olho o mais extensa possível – a periferia da retina. Na Cartografia, o problema é planificar uma superfície curva com o mínimo de distorções, ao passar da superfície curva esférica em 3D para a plana de um mapa.

O termo Cartografia, do francês carte, mapa, foi criado pelo Visconde de Santarém aquando da sua emigração forçada para Paris após a guerra civil entre Reis  irmãos.

Figura 3 Linha de rumo de Pedro Nunes
Figura 3 Linha de rumo de Pedro Nunes

O Visconde defendeu a prioridade dos descobrimentos portugueses. Foi um grande estudioso dos mapas e da  história da cartografia. Ficou conhecido pelos seus Atlas.

O principal problema da cartografia é a projeção num plano de uma superfície esférica que foi superada por Mercator. Este teve como precursor Pedro Nunes, que com a prática de navegação dos portugueses, criou o conceito de linha de rumo na superfície esférica do globo, uma linha em espiral, como o descascar de uma laranja rodando à volta do cento, que representava a menor distancia entre dois pontos.

Figura 4 Mapas de Eratostenes Estrabao e Ptolomeu mapas da epoca classica
Figura 4 Mapas de Eratostenes Estrabao e Ptolomeu mapas da epoca classica

Pedro Nunes, formado em medicina, foi o grande matemático e cosmógrafo do Reino.

Para se avaliar o valor e reputação de Pedro Nunes basta dizer que o Papa Gregório VII quando fazia a revisão do calendário, mais tarde conhecido como Gregoriano, que substituiu o anterior, Juliano ( de Júlio César), pediu a opinião de Pedro Nunes insistentemente até à sua morte.

Figura 5 Planisferio de Cantino espiao do duque Ferrara levado clandestinamente de Portugal primeiro mapa moderno representava o padrao real 1
Figura 5 Planisferio de Cantino espiao do duque Ferrara levado clandestinamente de Portugal primeiro mapa moderno representava o padrao real 1

Mercator é conhecido por ter inventado a projeção com o seu nome que é uma projeção cilíndrica com os meridianos equidistantes mas as paralelas a encurtarem para o equador, a que deve a necessidade de melhorar os cálculos de distâncias nas cartas náuticas. É esta projeção que faz com que a imagem da Gronelândia no extremo norte e portanto onde o Globo se torna mais estreito seja quase tão grande como África, nos mapas ao contrário dos Globos.

Na Retinografia o diâmetro da pupila é um fator condicionante da amplitude da fotografia do Fundo Ocular. O retinógrafo de campo ultra-amplo usa um sistema com captação de imagem sem dilatação até 200°, ou seja, aproxima-se de 82% da retina, portanto uma área excecionalmente extensa. Emprega tecnologia de laser cSLO - Coherent scanning laser oftalmoscope, que permite fotografar a retina através de pupilas pequenas e com 3 gamas de laser, azul, verde e vermelho, a incidir nas camadas mais externa, média e interna que pode dividir as imagens em três camadas diferentes, das mais superficiais às mais  profundas, sempre com uma resolução altíssima.

Figura 6 Balao terrestre se insuflado com uma folha de papel em redor verticalmente faz uma projecao cilindrica
Figura 6 Balao terrestre se insuflado com uma folha de papel em redor verticalmente faz uma projecao cilindrica

A imagem composta assemelha-se a projeção do Globo terrestre num mapa, mas aqui estamos a colocar num plano o interior do olho e não o exterior da crosta terrestre.

Executa também a Angiografia  Fluoresceínica de campo ultra-amplo e permite também realizar exame de autofluorescência e infravermelho. É um instrumento polivalente e as possibilidades do uso são imensas e ultrapassam a Retinografia convencional e a Retinografia com  OCT que já usávamos.

Figura 7 Mapa de Portugal Mercator Hondius
Figura 7 Mapa de Portugal Mercator Hondius

Figura 1 Retinografia da retina

Figura 2 Mapa medieval do Atlas do Visconde de Santarém

Figura 8 Atlas ou Atlante da mitologia grega o que sustenta a esfera celeste. Usado pela primeira vez usado no livro de mapas de Mercator tor
Figura 8 Atlas ou Atlante da mitologia grega o que sustenta a esfera celeste. Usado pela primeira vez usado no livro de mapas de Mercator tor

Figura 3 Linha de rumo de Pedro Nunes

Figura 4 Mapas de Eratóstenes, Estrabão e Ptolomeu, mapas da época clássica

Figura 9 Livro de correspondencia do Visconde de Santarem onde consta carta a Francisco Varnhagen descrevendo o termo Cartografia pela primeir
Figura 9 Livro de correspondencia do Visconde de Santarem onde consta carta a Francisco Varnhagen descrevendo o termo Cartografia pela primeir

Figura 5 Planisfério de Cantino, espião do duque Ferrara, levado clandestinamente de Portugal, primeiro mapa moderno representava o padrão real

Figura 6 Balão terrestre, se insuflado com uma folha de papel em redor verticalmente, faz uma projeção cilíndrica

Figura 10 Angiografia Fluoresceinica de campo ultra amplo
Figura 10 Angiografia Fluoresceinica de campo ultra amplo

Figura 7 Mapa de Portugal Mercator Hondius

Figura 8 Atlas ou Atlante, da mitologia grega, o que sustenta a esfera celeste. Usado pela primeira vez usado no livro de mapas de Mercator, tor

Figura 9 Livro de correspondência do Visconde de Santarém, onde consta carta a Francisco Varnhagen, descrevendo o termo Cartografia pela primeir

Figura 10 Angiografia Fluoresceínica de campo ultra-amplo